FRIDAY, Aug. 4, 2017 (HealthDay News) — Some adult survivors of childhood cancer go on to develop brain tumors, and now researchers say they’ve found a gene mutation that seems to increase that risk.
The researchers said their findings could lead to ways to prevent these brain tumors.
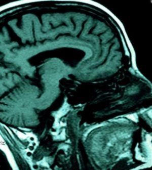
Adults who had radiation to their head and spine to treat childhood cancer have a greater risk of meningiomas. These tumors, which are often benign, are the most common type of brain tumor in adults, according to the American Brain Tumor Association.
In this study, Canadian researchers looked at 31 radiation-induced meningiomas in patients who underwent head and spine radiation during childhood. Most of them (74 percent) had survived either leukemia or pediatric brain cancer.
These brain tumors were compared with 30 meningiomas among people in the general population.
Gelareh Zadeh, the study’s co-principal investigator, said that radiation-induced meningiomas appear to be the same as those that just occur sporadically. They look the same on MRI scans and under a microscope. And, they feel the same during surgery, Zadeh said.
“What’s different is [that radiation-induced tumors] are more aggressive, tend to recur in multiples and invade the brain, causing significant morbidity and limitations (or impairments) for individuals who survive following childhood radiation,” Zadeh said.
Zadeh is a brain tumor researcher and associate professor in the neurology division at the University of Toronto.
Ken Aldape is a co-principal investigator on the study. He said the research team found a specific rearrangement involving the NF2 gene in radiation-induced meningiomas. He said there are likely other genetic rearrangements caused by radiation-induced DNA damage.
“So one of the next steps is to identify what the radiation is doing to the DNA of the meninges,” Aldape said in a University Health Network news release. Aldape is a professor of laboratory medicine and pathobiology at the University of Toronto.
Figuring out which group of childhood cancer patients have the highest risk of these radiation-induced tumors is critical. These patients could be followed closely for early detection and management, Aldape explained.
The study was published online Aug. 4 in the journal Nature Communications.
More information
The American Brain Tumor Association has more on meningiomas.
Copyright © 2026 HealthDay. All rights reserved.

